Onda plus Onda plus Onda plus Onda plus Onda plus Onda plus Onda plus Onda plus Onda plus

CONCLUSIONES ANÁLISIS HISTOLÓGICO

Histológicamente, el tratamiento es SEGURO ya que no se ha encontrado daño en el nivel epidérmico-dérmico (piel intacta), inmediatamente después del tratamiento o dos meses después del tratamiento (proceso inflamatorio completamente resuelto)
El tratamiento es EFECTIVO para las indicaciones de GRASA (ADIPOLISIS), CELULITIS (REMODELACIÓN DEL COLÁGENO) y FLACIDEZ CUTÁNEA (tonificación del colágeno)

DESNATURALIZACIÓN DEL COLÁGENO




… Y QUÉ HAY DE LA CELULITIS?




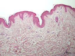
¿QUÉ SUCEDE CON LA PIEL?

La epidermis de la muestra tratada no muestra alteraciones con respecto al control.
El colágeno en la dermis parece más eosinófilo (rosa): el calor provoca la contracción o el endurecimiento del colágeno que produce una mayor eosinofilia, debido a la mayor concentración de colágeno, y siempre va acompañado de espacios claros claramente visibles en H & E, libres del colágeno que se ha agregado

¿A DÓNDE SE VA LA GRASA UNA VEZ INGERIDA POR LOS MACRÓFAGOS?

En el sistema linfático.
Vea aquí un vaso linfático ramificado entre tres adipocitos, que contiene macrófagos ricos en gotitas de lípidos.